A HISTÓRIA DA CADELA QUE COMIA PEDRAS!
20-08-2013 16:27
A Shain é uma linda labradora de 4 anos que pariu no dia 09/08.
Três dias depois a Shain veio à consulta pois apresentava uma apatia extrema e não queria comer nada, nem sequer os bolos que tanto gosta!!
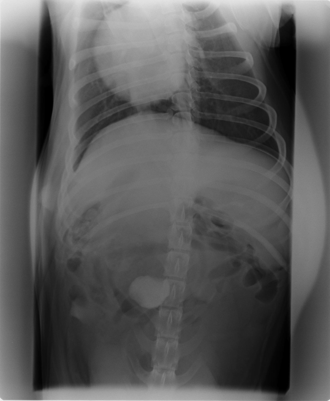
A Shain é uma linda labradora de 4 anos que pariu no dia 09/08. Três dias depois a Shain veio à consulta pois apresentava uma apatia extrema e não queria comer nada, nem sequer os bolos que tanto gosta!! Apresentava uma temperatura muito elevada e dor. Ao exame clínico não se notava mais nenhuma alteração para além destes sintomas. O dono, entretanto, refere que a Shain tem o hábito de brincar com pedras e que, por vezes, engole-as. Fizemos o rx abdominal e lá estava a causa da apatia da Shain: uma pedra na zona da válvula ileo-cecal!
No dia 15/08, foi operada, realizando-se uma enterotomia e a pedra foi removida com sucesso.
Neste momento, a Shain já está em completa recuperação tendo já o apetite normal e rosnando a toda a equipa cada vez que vem cá!








